stodent
Strona Główna < Implantologia

Implantologia

implanty

Implanty są zrobione z czystego tytanu, posiadają powierzchnie, które pozwalają na szybkie zespolenie się z kością, czyniąc je naturalnym i bardzo stabilnym podłożem dla przyszłego zęba. Za pomocą implantów uzupełniamy brak pojedynczego zęba, kilku zębów lub całkowitego bezzębia.

Pragnąc zaspokoić Państwa oczekiwania estetyczne i rozwiązać każdy przypadek kliniczny, proponujemy Państwu cztery systemy implantologiczne, Ankylos (Dentsply Friadent Niemcy), OsseoSpeed (AstraTech Szwecja), Seven (MIS Izrael), ScrewPlant (Implant Direct USA).

implanty

Conical Seal Design™ (stożkowe połączenie) - silne i stabilne dopasowanie

  • Dystrybucja obciążeń redukująca powstawanie największych przeciążeń
  • Minimalizacja mikroruchów i mikroprzecieku
  • Szybka i prosta procedura

MicroThread™ (powierzchnia z mikrogwintem) - dynamiczne biochaniczne połączenie

  • Trzykrotny lub nawet większy wzrost przenoszenia obciążeń
  • Optymalizacja dystrybucji obciążeń, redukująca powstawanie największych przeciążeń
  • Ochrona kości brzeżnej

OsseoSpeed™ - więcej kości, szybsze gojenie

  • Powierzchnia implantu modyfikowana fluorem, stymuluje większe i wcześniejsze powstawanie kości
  • Wzrost kontaktu implant_kość
  • Mocniejsze połączenie implant-kość

Produkty te wystepują w różnych rozwiązaniach i długościach. Tak, abyśmy mogli wybrać typ odpowiedni dla Ciebie.

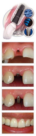
Przykładowy czas trwania leczenia

Konsultacja, przegląd warunków w jamie ustnej, zdjęcie Rtg i zaplanowanie zabiegu.

Zabieg (wszczepienie implantu w znieczuleniu miejscowym)

[ 2 - 3 dni ]

Wizyta kontrolna lub tel. od pacjenta z informacją o stanie pacjenta

[ 10 - 12 dni ]

Wizyta kontrolna i ściągnięcie szwów

[ 8 - 16 tygodni ]

Założenie śruby gojącej, przygotowanie dziąsła, sluzówki do osadzenia pracy protetycznej

[ 2 tygodnie ]

Pobranie wycisku pod koronę, most

[ 1 tydzień ]

Założenie fotona, prace protetyczne, korona, most

[ 1 rok ]

Coroczna, obowiązkowa wizyta kontrolna